Кольоровий лишай: причини, симптоми та методи лікування
Сонячний пляж, тепла вода і приємний відпочинок можуть несподівано затьмаритися появою дивних плям на шкірі. Саме так часто починається знайомство з кольоровим лишаєм – захворюванням, яке зустрічається набагато частіше, ніж ми думаємо.
Що таке кольоровий лишай?
Кольоровий лишай (інші назви – різнобарвний або висівкоподібний лишай) – це поширене грибкове захворювання шкіри. Воно проявляється плямами різних відтінків: від білого до коричневого. Плями часто з’являються на спині, грудях та шиї – місцях, де шкіра продукує більше шкірного сала.
Збудником кольорового лишаю є грибок Malassezia, який живе на шкірі майже у кожної людини. При певних умовах цей грибок починає активно розмножуватись і викликає висип.
Чому виникає кольоровий лишай?
Кольоровий лишай часто з’являється у спеку та при підвищеній вологості. Пляжний сезон стає справжнім тригером для його розвитку. Коли ми пітніємо на сонці, створюються ідеальні умови для розмноження грибка.
Основні причини розвитку захворювання:
- Підвищена пітливість
- Ослаблений імунітет
- Гормональні зміни
- Використання олійних засобів для тіла
- Недостатня гігієна
Особливо часто лишай вражає підлітків та молодих людей через активність їхніх сальних залоз. Також ризик зростає у людей з надмірною вагою, оскільки в складках шкіри створюється тепле і вологе середовище.
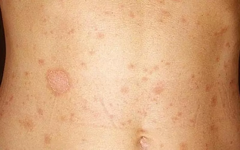
Як розпізнати кольоровий лишай?
Уявіть, що на шкірі з’являються плями, які нагадують розсипане борошно або висівки – саме так виглядає висівкоподібний лишай. Характерні ознаки:
- Плями різних кольорів – від світло-рожевого до коричневого
- Лущення шкіри в місцях ураження
- Легкий свербіж (не завжди)
- Зміна кольору плям після засмаги (вони стають більш помітними)
Якщо провести пальцем по ураженій ділянці, можна відчути легке лущення, наче дрібний пісок під пальцями. Таке відчуття викликане скупченням відмерлих клітин шкіри.
Як лікарі діагностують кольоровий лишай?
Діагностика зазвичай не викликає труднощів у дерматологів. Лікар огляне шкіру і, можливо, проведе йодну пробу: при нанесенні йоду на уражені ділянки вони забарвлюються інтенсивніше, ніж здорова шкіра.
В деяких випадках проводять аналіз під мікроскопом, щоб підтвердити наявність грибка. Ця процедура швидка і безболісна – лікар просто бере зразок лущення з ураженої ділянки.
Ефективне лікування кольорового лишаю
Лікування кольорового лишаю зазвичай не вимагає особливих зусиль. Основні методи:
- Протигрибкові креми і мазі Засоби з кетоконазолом, клотримазолом або міконазолом наносять на уражені ділянки 1-2 рази на день.
- Протигрибкові шампуні Шампуні з кетоконазолом або селен-сульфідом допомагають не тільки лікувати, але й запобігати рецидивам. Їх можна використовувати навіть на тілі, залишаючи на 5-10 хвилин перед змиванням.
- Таблетки (при тяжких випадках) Якщо ураження сильне або охоплює великі ділянки тіла, лікар може призначити протигрибкові засоби у таблетках.
Важливо продовжувати лікування навіть після зникнення зовнішніх проявів. Грибок може залишатися на шкірі, хоч його вже не видно.
Профілактика: як уникнути повторної появи
Щоб кольоровий лишай не повертався, дотримуйтесь простих правил:
- Приймайте душ після сильного потіння
- Носіть вільний одяг з натуральних тканин
- Використовуйте протигрибкові шампуні раз на тиждень
- Уникайте засобів для тіла на олійній основі
- Не діліться рушниками та одягом з іншими
Ці прості заходи значно знижують ризик повторної зустрічі з кольоровим лишаєм.
Кольоровий лишай – це неприємність, але не катастрофа. Своєчасне лікування швидко повертає шкірі здоровий вигляд. Якщо ви помітили характерні плями на шкірі, зверніться до дерматолога. Правильна діагностика і лікування допоможуть позбутися проблеми і насолоджуватися життям без обмежень.
Ваша шкіра заслуговує на найкраще – дбайте про неї щодня!

Ефективне лікування кольорового лишаю


